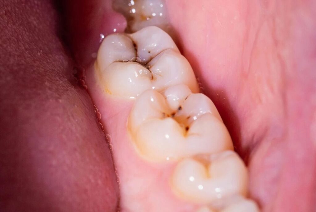
تهران- ایرنا- دانشمندان مادهای طبیعی کشف کردند که ۹۰ درصد لایه چسبناک عامل پلاک و پوسیدگی دندان را نابود کرده و میتواند تحولی در مراقبت روزانه دندان ایجاد کند.
نابودی ۹۰ درصد پلاکهای دندان با یک مولکول طبیعی


تهران- ایرنا- دانشمندان مادهای طبیعی کشف کردند که ۹۰ درصد لایه چسبناک عامل پلاک و پوسیدگی دندان را نابود کرده و میتواند تحولی در مراقبت روزانه دندان ایجاد کند.